請善用關鍵字
搜尋,鍵入相關字即可找到相關資料
(您可以用關鍵字+崇愛齒顎矯正牙醫診所,在google搜會較快,而且可能server已不足,很多網頁內的po圖都不見了,被刪去,請包涵!)崇愛牙醫 發表在 痞客邦 留言(2) 人氣(1,901)
崇愛牙醫 發表在 痞客邦 留言(0) 人氣(145)
崇愛牙醫 發表在 痞客邦 留言(0) 人氣(178)
矯正器在黏著過持程當中,有一個名詞非常重要,那就是牙齒表面用酸蝕劑60秒後會出現牙表面呈白堊色(chalky white color)的現象,之後即可進行矯正器的黏著,底下的圖所呈現的就是白堊色的情形崇愛牙醫 發表在 痞客邦 留言(0) 人氣(238)
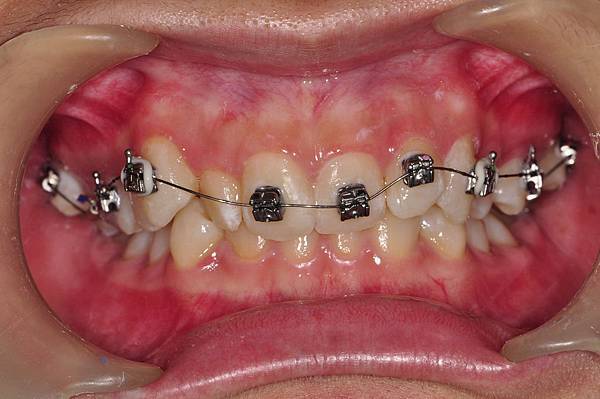
臨床上深咬的案例非常多,操作上首重將咬合打開,這樣才有利於牙列的排齊,底下我們來看一下案例的一開始黏上矯正器的狀況,使用carriere SLB自鎖矯正器,弓絲0.014NiTi wire崇愛牙醫 發表在 痞客邦 留言(2) 人氣(873)
人類最忠實的伙伴~~狗狗,牠們平常除了吃喝拉撒睡外,就是會喜歡叼東西,臨床上我們經常發現病人哭笑不得回來說:醫生,怎麼辦?我的保持器變形了,而且還不是單一事件,這就讓我們想去探討到底毛小孩為何會喜歡這個味兒!崇愛牙醫 發表在 痞客邦 留言(0) 人氣(68)
矯正器上的橡皮筋的使用牙齒矯正過程中,有時醫生會需要你自行配戴橡皮筋,掛在矯治裝置(矯正器、牽引鉤)之間。崇愛牙醫 發表在 痞客邦 留言(0) 人氣(5,624)

http://mp.weixin.qq.com/s/JKTaMt0hSdMhGNZUCeqPWg
請聯結上面網頁崇愛牙醫 發表在 痞客邦 留言(0) 人氣(244)
門診中常會出現矯正線頭會由於飲食當中咀嚼力產生線的振盪至移動跑出頰面管外,通常可以在弓線的末端做回彎,或是以流動樹脂點上,防止線頭去刺傷口腔黏膜,由於PIXNET本身沒有影片的直接上傳處置,所以只能以圖來解說,崇愛牙醫 發表在 痞客邦 留言(0) 人氣(408)
崇愛牙醫 發表在 痞客邦 留言(2) 人氣(216)